Dépistage échographique de l'anévrisme de l'aorte abdominale : une pratique essentielle en médecine générale

Le dépistage de l’anévrisme de l’aorte abdominale (AAA) est un examen simple, réalisable en moins de 3 minutes, accessible même aux débutants en échographie. Il peut être effectué à l’aide d’un échographe ultraportable tel que le Vscan Air™ ou à l’aide d’une console.

L'anévrisme de l’aorte abdominale (AAA) est une pathologie grave, souvent silencieuse, qui expose à un risque de rupture potentiellement fatal. Bien que fréquemment asymptomatique, l'AAA est responsable de plus de 7 000 décès par an en France. Un dépistage ciblé, rapide et non invasif, basé sur l’échographie, constitue une solution efficace pour détecter précocement cette affection et prévenir ses complications.

Cet article met en lumière l’importance du dépistage échographique dans le cadre des recommandations de la Haute Autorité de Santé (HAS)1, tout en détaillant la procédure et les critères cliniques à prendre en compte.

Pourquoi dépister un AAA ?

Un AAA est une dilatation de l’aorte abdominale qui, en cas de rupture, entraîne une mortalité supérieure à 80 %.

Les facteurs de risque de l'anévrisme de l’aorte abdominale

Les principaux facteurs de risque d’AAA sont :

  • L’âge > 65 ans : Un patient opéré d’un AAA sur deux est âgé de plus de 75 ans.

  • Le sexe masculin : Le sex-ratio homme/femme est de 13/1.

  • Le tabagisme chronique : C’est un facteur de risque indépendant, influençant à la fois la survenue et l’expansion de l’AAA.

  • Les antécédents familiaux d’AAA : La fraction attribuable est estimée à 1,9 %.

Sur l’ensemble de ces facteurs de risque, seul le tabagisme chronique est amendable

Le dépistage est essentiel pour identifier les AAA asymptomatiques, car la clinique est souvent peu fiable. En médecine générale, l’échographie abdominale permet une évaluation précise et rapide.

Le dépistage selon la HAS1

La HAS recommande un dépistage ciblé opportuniste unique, défini comme suit :

  • Ciblé : Il s’adresse à une sous-population où la prévalence de l’AAA est significativement plus élevée que dans la population générale2, notamment :

    • Les hommes de 65 à 75 ans, fumeurs ou anciens fumeurs.

    • Les hommes de 50 à 75 ans, ayant des antécédents familiaux d’AAA.

  • Opportuniste (ou individuel) : Il est proposé par le professionnel de santé lors d’une consultation médicale ou d’une hospitalisation, sans organisation systématique.

  • Unique : Il n’est réalisé qu’une seule fois et n’a pas vocation à être réitéré.

Pour les patients diagnostiqués avec un AAA, la HAS préconise un traitement curateur lorsque :

  • Le diamètre de l’anévrisme atteint ou dépasse 50 mm.

  • Sa vitesse de croissance dépasse 10 mm/an.

Étapes de l’examen échographique

L’échographie abdominale est l’examen de référence pour dépister un AAA. Voici les étapes clés :

1. Préparation et choix de la sonde

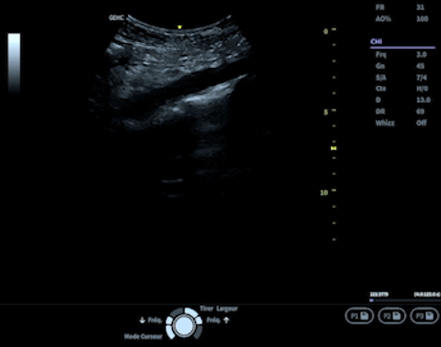
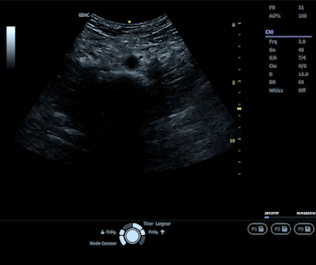
Une sonde convexe est utilisée pour obtenir une bonne pénétration des tissus profonds et visualiser clairement l’aorte abdominale (voir glossaire). Le patient est allongé en décubitus dorsal, avec une légère flexion des genoux pour détendre les muscles abdominaux.

2. Réalisation des coupes échographiques

  • Coupe transversale : Descendre en coupe transversale depuis l’aorte au niveau des artères rénales jusqu'à la bifurcation iliaque. Si aucune modification du diamètre n’est observée, remonter 1 cm au-dessus de la bifurcation. La sonde est alors généralement positionnée juste au-dessus de l’ombilic. Sur l’image de l’aorte ainsi obtenue, mesurer le diamètre antéro-postérieur transverse. Une mesure inférieure à 30 mm exclut le diagnostic d’AAA. Si une modification du diamètre est observée, mesurer le diamètre antéro-postérieur transverse le plus grand. Cette mesure doit être effectuée sur 3 acquisitions différentes.


  • Coupe longitudinale : Cette vue confirme la mesure transversale en offrant une évaluation complémentaire.


Les médecins doivent également être vigilants aux artéfacts échographiques (voir glossaire) susceptibles de compliquer l’interprétation, comme le cône d’ombre postérieur ou le renforcement postérieur.

3. Analyse et interprétation

Un diamètre supérieur à 30 mm confirme la présence d’un AAA. Les patients présentant un AAA nécessitent une surveillance échographique régulière ou une orientation vers un spécialiste selon la taille de l’anévrisme.


Charte de surveillance des anévrismes de l’aorte abdominale

Les résultats de l’échographie déterminent la suite de la prise en charge :

Recommandations SFMV3 (Société Française de Médecine Vasculaire) pour le suivi des Anévrysmes de l’Aorte Abdominale sous-rénale après dépistage.


Le rôle du médecin généraliste dans la prise en charge thérapeutique globale des patients atteints d’un AAA

En tant qu’acteur central de la prise en charge globale, le médecin généraliste joue un rôle clé dans l’accompagnement des patients diagnostiqués avec un anévrisme de l’aorte abdominale (AAA). Au-delà de la détection précoce et du suivi échographique, il contribue activement à la gestion des facteurs de risque cardiovasculaire pour limiter la progression de la pathologie et améliorer le pronostic global. Voici les axes principaux de son intervention :

1. Aide au sevrage tabagique

Le tabagisme est un facteur de risque majeur dans la progression des AAA. Le médecin peut proposer un accompagnement personnalisé pour aider le patient à arrêter de fumer, incluant des conseils, un suivi régulier, et, si nécessaire, la prescription de substituts nicotiniques ou d’autres traitements.

2. Normalisation de la tension artérielle

Un contrôle optimal de la pression artérielle est essentiel pour réduire les contraintes mécaniques sur les parois artérielles. Le médecin généraliste peut ajuster les traitements antihypertenseurs en fonction des besoins spécifiques du patient.

3. Promotion de l’activité physique

Encourager une activité physique régulière adaptée aux capacités du patient contribue à améliorer la santé cardiovasculaire globale. Le médecin peut recommander des exercices modérés, comme la marche ou le vélo, tout en tenant compte des éventuelles limitations physiques.

4. Gestion du diabète préexistant

Le contrôle strict de la glycémie est crucial pour limiter les effets délétères du diabète sur les parois vasculaires. Le médecin généraliste joue un rôle de coordination dans l’ajustement des traitements et l’éducation thérapeutique du patient.

5. Réduction de l’hypercholestérolémie

Le traitement de l’hypercholestérolémie, notamment par la prescription de statines, est un élément clé de la prise en charge. Il permet de réduire le risque d’athérosclérose, souvent associée à l’AAA.

6. Diminution du surpoids

La perte de poids, lorsqu’elle est nécessaire, est un levier important pour améliorer la santé cardiovasculaire. Le médecin peut travailler en collaboration avec un diététicien pour établir un plan alimentaire adapté.

La cotation du dépistage de l'anévrisme de l’aorte abdominale

L’échoscopie, contraction des mots échographie et stéthoscope, est un outil innovant pour orienter le praticien dans sa prise en charge. Cependant, elle ne dispose pas actuellement de cotation spécifique dans la Classification Commune des Actes Médicaux (CCAM).

Pour une approche plus complète, intégrer le dépistage de l’AAA dans une échographie abdominale générale (ZCQM008 ou ZCQM010) est une option envisageable.

La cotation ZZQM004 : Échographie transcutanée au lit du malade est parfois utilisée en l’absence d’alternative dédiée3, mais elle impose plusieurs contraintes : un compte rendu obligatoire, une formation spécifique attestée, et l’impossibilité de cumuler cette cotation avec une consultation (G). Cette approche acceptée par certains départements en Médecine générale ne devrait selon les textes n'être cependant utilisé qu’au lit du malade et à l’hôpital.

Pour en savoir plus sur les cotations en échoscopie, rendez-vous dans notre prochain article dédié à ce sujet ! Inscrivez-vous pour être notifié de la sortie de l’article.

Aide à la rédaction du compte rendu échographique

Aucune règle concernant la spécificité d’un compte rendu d’échoscopie n’est établie pour le moment.1

Le compte rendu d’un examen échographique doit être structuré et précis, permettant de répondre aux questions cliniques posées tout en intégrant les éléments pertinents pour la prise en charge du patient.

Ce compte rendu doit être remis au patient en cas de quotation.

Nous reviendrons prochainement dans un nouvel article sur des conseils pour la rédaction d’un compte rendu échographique. Inscrivez-vous pour être notifié de la sortie de l’article.

Avantages de l’échographie en médecine générale

L’échographie est particulièrement adaptée à la pratique médicale courante grâce à ses nombreux avantages :

  • Accessibilité : Réalisable en cabinet médical.

  • Non invasif : Absence de rayonnements ou de produits de contraste.

  • Rapidité : Procédure courte, prenant moins de 2 minutes si l’échographe est prêt à être utilisé.

En suivant les recommandations de la HAS, les médecins généralistes peuvent facilement intégrer cet examen à leurs consultations pour répondre aux besoins de dépistage opportuniste.

Conclusion

Le dépistage échographique de l’anévrisme de l’aorte abdominale est un outil essentiel en médecine générale, offrant une méthode rapide, fiable et accessible pour identifier précocement cette pathologie grave. En intégrant les recommandations de la HAS et en s’appuyant sur l’échographie, les professionnels de santé jouent un rôle clé dans la prévention des complications liées à l’AAA.

Pour en savoir plus sur les termes techniques abordés dans cet article, consultez notre glossaire.

Sources :

  1. Haute Autorité de Santé (HAS), Anévrismes de l'aorte abdominale en France : proposer un dépistage ciblé opportuniste unique

  2. Haute Autorité de Santé (HAS), Fiche médecin traitant Dépistage et prévention des anévrismes de l’aorte abdominale, novembre 2012

  3. Mathilde Scardin. L’échoscopie en médecine générale : synthèse des pratiques actuelles et recommandations pour une utilisation optimale en cabinet. Médecine humaine et pathologie. 2024. ffdumas04716188

  4. http://Vasculaire.com, Anévrisme de l’aorte abdominale

Vscan Air. Utilisation prévue: Vscan Air est une application logicielle pour téléphone portable ou tablette, conçue pour être utilisée avec une sonde Vscan Air. L'application Vscan Air est destinée aux examens échographiques diagnostiques, pour faciliter la lecture des images et les mesures des structures anatomiques et des fluides.
Catégorie/Organisme notifié : MDR IIa/CE 0123. Fabricant : GE Vingmed Ultrasound AS. Reportez-vous toujours au manuel d'utilisation complet avant d'utiliser cet appareil. Lisez attentivement toutes les instructions afin de garantir une bonne utilisation de votre dispositif médical. Dernière révision : 24 juillet 2023

JB03062FR